
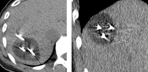
肝悪性腫瘍に対する経皮的な低侵襲治療には、ラジオ波、マイクロ波、レーザー治療など熱凝固を用いて治療する方法があります。経皮的凍結治療は腫瘍組織を凍結することにより壊死させる治療法で、近年小径腎悪性腫瘍に対して保険診療が承認されました。経皮的な針で凍結を得る方法は、高圧のアルゴンガスを針内に送り込み、針の先端部に内装された二重構造の熱交換器部分でのJoule-Thomson効果により低温を得るもので、針の熱交換器部分は-185℃まで冷却されます。凍結治療はラジオ波治療などと比べて、①細胞死が細胞自体の機械的な破壊であるため変性蛋白が生成されない、②凍結による麻酔効果により凍結中の痛みがない、③MRIやCTにより凍結範囲を画像的にモニタリングすることができる、などの利点を有しています。
海外では肝悪性腫瘍に対しても凍結治療は実施されており、良好な治療成績が報告されています。本邦においても肝悪性腫瘍に対する経皮的凍結治療を安全に実施できるようになることを目指し本研究は計画されました。
本研究の対象患者は、
①原発性肝悪性腫瘍、転移性肝悪性腫瘍、②原則として1~4cmまでの病変 (本研究の対象は1病変のみ)、③手術適応外あるいは手術を希望しない、④主要臓器機能が保たれていること、⑤明らかな出血傾向、凝固異常が無い、⑥抗血小板薬、抗凝固薬を内服していないもしくは内服中止可能である、
などが条件となります(その他にもいくつかの規準に合致することが必要です)。
現在は、治療費のかからない学用患者として治療を実施していますが、今後自由診療や先進医療として実施される可能性があります。
毎週木曜日午前に外来診療を行っていますが、新規に受診する場合には医療機関からの紹介状が必要となります。

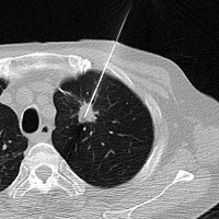
転移性骨軟部腫瘍や類骨骨腫などの有痛性骨軟部腫瘍に対する治療には、1)腫瘍を切除する方法,2)鎮痛剤を内服する方法,3)放射線照射による治療,4)専用針を刺してラジオ波で凝固・焼灼する治療, 5)動脈・静脈から薬剤(悪性の場合は抗がん剤を含む)を投与する方法、などがありますが、それぞれの治療に一長一短があります。経皮的凍結治療は腫瘍組織を凍結することにより壊死させる治療法で、近年小径腎悪性腫瘍に対して保険診療が承認されました。経皮的な針で凍結を得る方法は、高圧のアルゴンガスを針内に送り込み、針の先端部に内装された二重構造の熱交換器部分でのJoule-Thomson効果により低温を得るもので、針の熱交換器部分は-185℃まで冷却されます。凍結治療はラジオ波治療などと比べて、①細胞死が細胞自体の機械的な破壊であるため変性蛋白が生成されない、②凍結による麻酔効果により凍結中の痛みがない、③MRIやCTにより凍結範囲を画像的にモニタリングすることができる、などの利点を有しています。
海外では有痛性骨軟部腫瘍に対しても凍結治療は実施されており、良好な治療成績が報告されています。本邦においても有痛性骨軟部腫瘍に対する経皮的凍結治療を安全に実施できるようになることを目指し本研究は計画されました。
本研究の対象患者は、
①疼痛を有する転移性骨軟部腫瘍および類骨骨腫、②鎮痛剤によって病変による疼痛のコントロールが不良である、③主要臓器機能が保たれていること、④明らかな出血傾向、凝固異常が無い、⑤抗血小板薬、抗凝固薬を内服していないもしくは内服中止可能である、
などが条件となります(その他にもいくつかの規準に合致することが必要です)。
現在は、治療費のかからない学用患者として治療を実施していますが、今後自由診療や先進医療として実施される可能性があります。
毎週木曜日午前に外来診療を行っていますが、新規に受診する場合には医療機関からの紹介状が必要となります。

Double inversion recovery (DIR)はMRIの撮像方法の一種で、脳の構造を明瞭に描出する方法です。水の信号を抑制する方法は以前より有りましたが、水の信号と合わせて大脳皮質もしくは白質の信号を抑制し、大脳の白質のみ・灰白質のみの選択的な描出を狙った撮像方法です。多発性硬化症の評価に優れるという報告が既にされていますが、この他の疾患での有用性や、更に優れた撮像方法を検討する目的で研究が行われています。
2011年度調査結果報告書(PDF)
2012年度調査結果報告書(PDF)
2013年度調査結果報告書 大人(PDF)
2014年度調査結果報告書 大人(PDF)
2015年度調査結果報告書(PDF)
2016年度調査結果報告書(PDF)
2017年度調査結果報告書(PDF)
解析方法・グラフの見方(PDF)

附属病院と群馬県内の多くの病院の診療放射線技師の方々と共同で、CT撮影における患者放射線被ばく低減と検査適正化を目的とした調査を毎年行なっています。結果は参加した全ての病院にフィードバックし、日々の診療に役立てていただいています。
2011年の結果と2012年の結果は公表されています。
過去の結果は論文として発表されています。

透析患者さんには腎がんの発生が多いというデータがあります。しかし、CTや超音波検査などでも、発見が困難なことが少なくありません。このプロジェクトは透析患者さんの腎がん早期発見を目的としてFDG-PETの有用性を調査するものです。
プロジェクトは現在進行中です。
透析患者さんでPET検査を受けてくださる方を募集しています。
医師向け説明文書(PDF) ・ 患者さん向け説明文書(PDF)

ARFIはElasticity imagingの一種ですが、肝臓における測定条件は確立しておらず、また再現性と安定性も不明です。この研究はARFIを用いて食前・食後で肝臓および脾臓の硬度を測定し、測定値の再現性と安定性について検討するものです。またファントム実験も行なっています。
結果の一部は論文として発表されています。

18F alpha-methyl tyrosine(18F-FAMT)は、サイクロトロンで合成される18Fにより標識されたタイロシンと類似の挙動を示すPET用アミノ酸製剤で、PETカメラを用いて画像化されます。18F-FAMTは、癌細胞で特異的に発現しているアミノ酸の輸送担体であるLAT1を介して癌細胞内に取り込まれるため、LAT1を発現する癌細胞の画像化が可能となります。1998年、群馬大学で井上、富吉らにより開発され、現在は臨床研究として年間約300件の検査が行われています。PET検査で頻用されるブドウ糖製剤のFDGと異なり、炎症には集積しないため、より特異性の高い腫瘍の診断が可能です。口腔外科、呼吸器外科、脳神経外科などと共同研究が進行中です。
結果の一部は論文として発表されています。

131I-MIBGは、神経堤(neural crest)が発生母地となる神経内分泌腫瘍である褐色細胞腫、傍神経節腫、神経芽細胞腫などに集積するため、このことを利用して、131Iの放出するβ線を用いて癌細胞の内部より選択的に照射を行うRI内照射治療が可能です。褐色細胞腫の約10%は稀ではありますが悪性化することがあり、全身に転移します。この様な症例には、現在なかなか有効な治療法がありませんが、131I-MIBG治療の適応になることがあります。
群馬大学附属病院では、2004年より当院IRBの承認を受けて、年間約10-15症例の悪性褐色細胞腫・傍神経節腫を対象として本治療を行なっています。患者さんは東北、首都圏を中心とした関東全域など広く東日本全域より来院されます。予め、担当医より紹介状の送付を頂き、適応に関して評価を行い、その後患者様の外来受診、検査入院(約5日間)、治療入院(約10日間)という流れで診療が進行します。131I-MIBGは、本邦では未承認薬であるため、ポーランドより個人輸入しています。
結果の一部は論文として発表されています。

現在FDG-PET画像において癌への異常集積を評価する指標としては、SUVmaxが広く使われています。簡便な指標ではあるものの、病巣全体の糖代謝を反映していない面もあり、他の指標として病巣への異常集積の見られる容積の評価が重要となってきています。Metabolic volumeは、PETVCAR (Volume Computer Assisted Reading)による、コンピュータ支援ボリューム解析により計測されます。本研究では、2007年より2012年までに、群馬大学附属病院でFDG-PET検査を行われた肺癌の症例のPET画像を対象に、Metabolic volumeと肺癌の予後との関係をレトロスペクティブに解析を行っています。

造影剤を用いたCT検査はすでに我が国に広く普及し、様々な疾患の画像診断に役立っています。しかし、肝臓や腎臓などの臓器や癌などの腫瘍性病変の血流量を数値として測定することはできませんでした。本研究では新たなCTの撮影法と解析法を用いることで、腹部実質臓器や疾患の血流量を測定し、より確かな画像診断技術を開発することを目的としています。
結果の一部は論文として発表されています。

類骨骨腫は小児や若年成人の骨に生じる良性骨腫瘍です。1.5cm以下の腫瘍が足の骨(大腿骨や脛骨など)にできることが多く、強い痛み(夜間に強い)を生じます。従来は手術により腫瘍を切除していましたが、欧米では細い針を腫瘍に直接刺してラジオ波で熱凝固させる治療が主流となっています。我が国でもいくつかの施設で類骨骨腫に対してラジオ波治療を行うことができますが、治療可能な施設は限定されており保険診療も承認されていません。この臨床試験では複数の施設(JIVROSGグループ)で協力して類骨骨腫の患者さんを対象にラジオ波治療を行い、我が国におけるこの治療の安全性と有効性を確認することにより、近い将来この治療が保険診療として承認されることを目標としています。この臨床試験の症例登録は終了しており結果を分析しています。この臨床試験は平成19年~21年の厚生労働省科学研究費により支援を受けています。
現在、この治療は当院にて自由診療で受けることが可能です。
結果の一部は論文として発表されています。

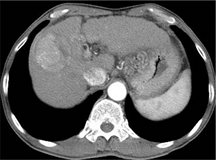
肺腫瘍や骨軟部腫瘍に対するラジオ波治療は我が国では保険診療が承認されていません。しかし、欧米からは手術と比べて低侵襲なラジオ波治療の報告が数多くなされています。本研究では、転移性肺癌、疼痛を伴う骨腫瘍(転移性骨腫瘍、類骨骨腫など)を中心に、CTによる画像誘導下にラジオ波治療を行い、その安全性と有効性を評価しています。

ガドキセト酸ナトリウム(EOB)は肝臓のMRI検査で用いられる造影剤です。肝臓の映り方は患者さんの肝機能と関係しています。肝機能が良好な場合は検査時間を短縮できるという報告がありますが、十分な検討が行われているとは言えません。この研究はEOBを用いた検査で肝機能と造影効果の関係を調べるものです。全国の施設で行われる多施設共同研究で、現在進行中です。医師主導臨床研究に関する契約に基づき、バイエル薬品株式会社の資金提供を受けています。

造影剤を用いるCT検査では、患者さんの体格の違いが病変の映り方に影響するとされています。この研究は造影CT検査で患者さんの体格と造影効果の関係を調べるものです。全国の施設で行われる多施設共同研究で、現在進行中です。群馬大学では腹部CTの調査を行なっています。医師主導臨床研究に関する契約に基づき、バイエル薬品株式会社の資金提供を受けています。